DianeShears on GETTR: New-onset refractory status epilepticus following ...
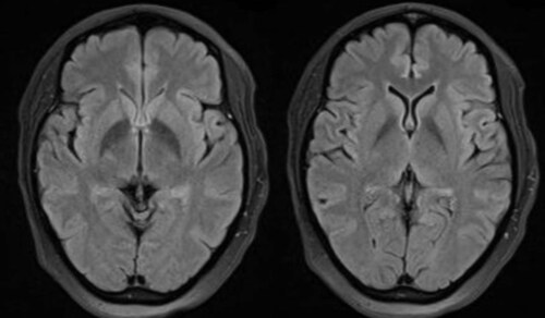
New-onset refractory status epilepticus following the ChAdOx1 nCoV-19 vaccine "Healthcare providers...
New-onset refractory status epilepticus following the ChAdOx1 nCoV-19 vaccine

"Healthcare providers...